What is Optical Coherence Tomography (OCT) scans?

Advanced Eye Health Screening for Early Detection

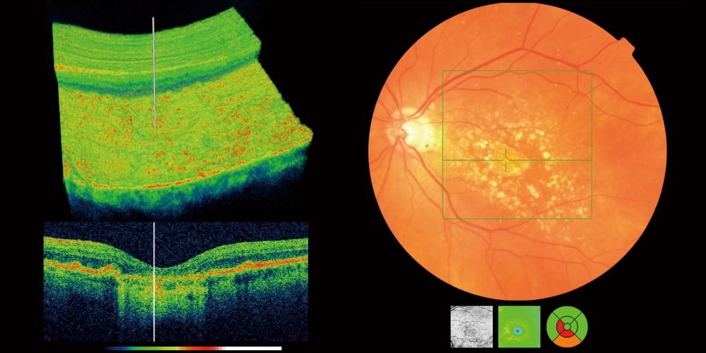
At O’Connor Opticians Cork, we use advanced Optical Coherence Tomography (OCT) technology to give a detailed, 3D view of your eye health. This allows us to detect potential issues earlier than a standard eye test alone.



What is an OCT Scan?

An OCT scan is a quick, non-invasive imaging test that captures high-resolution cross-sectional images of the retina (the back of your eye).

It allows us to examine the different layers of the retina in incredible detail, helping to identify changes that may not yet affect your vision.



Why is an OCT Scan Important?

Many serious eye conditions develop gradually and without noticeable symptoms in the early stages. OCT scanning helps us detect and monitor conditions such as:

  • Glaucoma

  • Macular degeneration

  • Diabetic retinopathy

  • Retinal tears or abnormalities

Early detection means earlier treatment and better long-term outcomes for your vision.



What to Expect During Your Scan

  • The scan is quick and painless

  • No contact with your eye is required

  • It usually takes just a few minutes

  • Results are reviewed and explained by your optician

You’ll also have the opportunity to see detailed images of your eyes and understand your eye health more clearly.

Who Should Have an OCT Scan?

We recommend OCT scans for:

  • Our Recommendation

    Adults over 25+ years of age

  • Our Recommendation

    Anyone with a family history of eye disease

  • Our Recommendation

    Patients with diabetes

  • Our Recommendation

    Those experiencing changes in vision

Book Your OCT Scan Today

Your vision is one of your most important senses, don’t leave it to chance.

Book your eye examination with OCT today and take a proactive step towards protecting your long-term eye health.